在假期,很多人尽情放松,享受难得的闲暇时光,却往往会忽视一些看似不起眼的细节。这些被忽视的细节可能会给身体健康埋下隐患,甚至引发严重的疾病。近日,就有这样一则令人醒的案例,一位患者持续高烧不退,体温一度飙升至较高的摄氏度,在经过详细检查后,竟发现肺部出现了发霉的情况,而罪魁祸首正是假期里被忽视的一个小细节。

假期本是人们放松身心、调整状态的美好时光。有的人选择外出旅游,去领略不同地方的风土人情;有的人则选择在家中好好休息,享受悠闲惬意的生活。但无论选择何种方式度过假期,在尽情享受的往往容易忽略一些与健康息息相关的细节。就拿这位肺部发霉的患者来说,他在假期里和家人一起去了一个山区游玩。山区的环境相对潮湿,空气湿度较大,而他们所住的民宿房间通风条件并不是很好。游玩回来后,他就感觉身体有些不舒服,起初只是以为旅途劳累,休息一下就会好。情况并没有如他所愿,他开始出现咳嗽的症状,而且体温也逐渐升高。他以为只是普通的感冒,便自行服用了一些感冒药,但是病情不但没有好转,反而越来越严重,体温持续在高烧的状态。
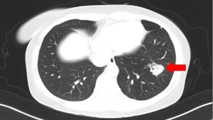
随着病情的加重,他不得不前往医院进行检查。医生为他做了一系列详细的检查,包括胸部CT等,最终发现他的肺部出现了霉菌感染,也就是肺部发霉的情况。经过进一步的询问和分析,医生判断这很可能是在山区民宿居住期间,由于环境潮湿、通风不良,他吸入了大量带有霉菌孢子的空气,从而导致肺部感染。在假期里,人们通常会因为忙碌于游玩或者休息,而忽视了居住环境的卫生和通风情况。像这种潮湿、通风差的环境,非常容易滋生霉菌。霉菌孢子一旦被人体吸入,就有可能在呼吸道和肺部大量繁殖,从而引发感染。
肺部发霉可不是小事,它会严重影响肺部的正常功能,导致呼吸困难、咳嗽、发热等症状。如果不及时治疗,还可能引发更严重的并发症,甚至危及生命。对于这位患者来说,他的病情发现还算及时,医生根据他的具体情况制定了详细的治疗方案,包括使用抗真菌药物、进行呼吸支持等。在经过一段时间的治疗后,他的病情逐渐得到了控制,体温也恢复了正常,咳嗽等症状也明显减轻。
这个案例给我们敲响了钟,在假期里,我们一定要重视生活中的每一个细节,尤其是居住环境的卫生和通风。无论是外出旅游还是在家休息,都要保持居住空间的干燥、清洁和通风良好。如果身体出现不适症状,千万不要掉以轻心,要及时就医,以免延误病情。健康是我们享受生活的基础,只有重视生活中的小细节,才能更好地保护自己和家人的健康,让每一个假期都过得愉快又安心。
我们在日常的生活中,也应该养成良好的生活习惯。定期对居住环境进行清洁和消毒,尤其是在潮湿的季节,要注意使用除湿器等设备来降低室内湿度。在外出旅游时,选择正规、卫生条件好的住宿场所,入住后要及时开窗通风。对于一些有慢性呼吸系统疾病的人群来说,更要格外注意,加强自我防护。我们还应该适当进行体育锻炼,增强身体的免疫力,这样才能更好地抵御各种疾病的侵袭。让我们从现在开始,关注生活细节,守护自己和家人的健康,远离疾病的困扰,迎接更加美好的生活。