首页
综合频道
生活频道
当前位置:
首页
> 发烧肺部感染怎么办
生活频道
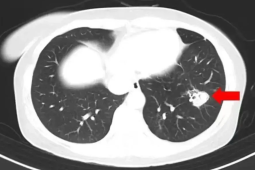
高烧℃肺部发霉竟因假期忽视这一细节
在假期,很多人尽情放松,享受难得的闲暇时光,却往往会忽视一些看似不起眼的细节。这些被忽视的细节可能会给身体健康埋下隐患,甚至引发...
管理员
2025-08-01
17
0
没有更多内容
热门文章
夏季战痘关键:保持皮肤正常呼吸
2025-07-04
频繁洗头会导致脱发是真是假
2025-07-04
隔夜茶隔夜菜隔夜瓜哪个不能吃
2025-07-04
夏天海边看到这个立刻跑别用手碰
2025-07-04
北京启动文明骑行有序停放宣传活动
2025-07-04
山东盐碱地喜获丰收
2025-07-04
高考后减重健身计划你准备好了吗
2025-07-04
河南今年开工改造个城镇老旧小区
2025-07-05
随便看看
四川万源煤矿事故四人遇难
2025-07-09
青春飞扬科技筑梦——五四特别节目北辰对话
2025-07-24
隔夜茶隔夜菜隔夜瓜哪个不能吃
2025-07-04
未名湖水标价售卖校园文化岂能沦为流量生意
2025-07-05
经常运动和不运动的人有哪些区别
2025-07-05
夏季高发夺命疾病已致十几万死亡速看防范
2025-07-07
福建南安燃气管道破裂爆燃致民房倒塌两死五伤
2025-07-05
酒精是唯一彻底消毒伤口的方法吗
2025-07-06